
চিত্র-১: পরজীবীতে আক্রান্ত মস্তিষ্ক
শুরু করা যাক। আফ্রিকা মহাদেশের একজাতীয় কীটপতঙ্গ আছে। যারা ট্রাইপ্যানোসোমা (Trypanosoma) নামক পরজীবী বহন করে থাকে।

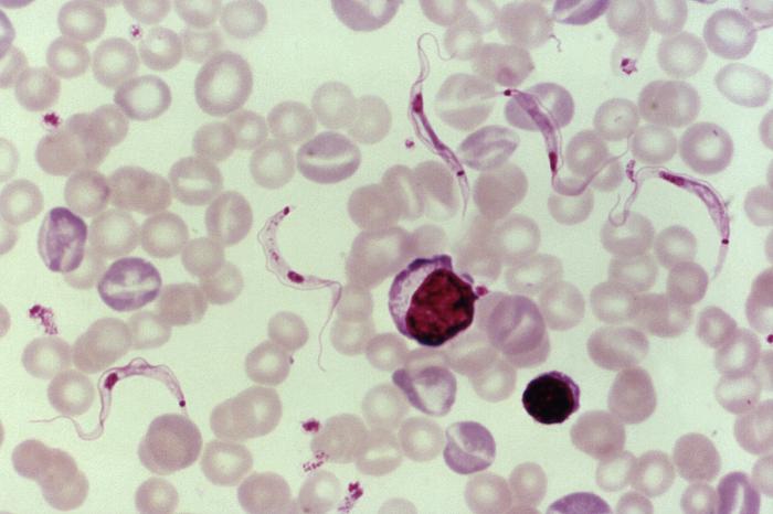
চিত্র-২: ট্রাইপ্যানোসোমা (Trypanosoma) পরজীবী
আফ্রিকার মাছি জাতীয় পতঙ্গ এ জাতীয় পরজীবী বহন করে থাকে। এসব পরজীবী মাছির উদরে অবস্থান নেয়। খুব দ্রুত জটিল যৌগ গঠন করে। পরজীবীর মস্তিষ্কে ছড়িয়ে যায়। পরজীবীগুলো মাছিকে স্তন্যপায়ী প্রাণীদের লালা বা রক্তের জন্য উত্তেজিত করে তোলে। এজন্য তারা সাধারণত মানুষ বা প্রাণীর রক্ত বেশি পছন্দ করে। এসব মাছির পরজীবী ম্যালেরিয়ার মত রক্তে মিশে যায়। কিন্তু এদের কাজের প্রকৃতি কিছুটা ভিন্ন। এরা প্রাণীর শরীরে দীর্ঘদিন ধরে কাজ করে। প্রথমে মাছির কামড়ে সংক্রমিত হয়। এ পর্যায়কে হিমোলিম্ফাইটিক পর্যায় বলে। এ পর্যায়ে পরজীবীগুলো মানুষের রক্তে এবং বিভিন্ন লাসিকা গ্রন্থিতে অবস্থান করে। আস্তে আস্তে জটিল যৌগ তৈরি করে। সে যৌগ থেকে ঐ পরজীবীর লার্ভা তৈরি হয়।

চিত্র-৩: ট্রাইপ্যানোসোমা (Trypanosoma) জীবনচক্র
লার্ভা একধরনের ডিম ছেড়ে দেয়। যেগুলো থেকে চাবুকের মত একধরনের ফ্লাজিলার জন্ম হয়। আবদ্ধ জায়গা থেকে ফ্লাজিলাগুলো রক্ত ও লাসিকা গ্রন্থির মধ্যে ছড়িয়ে ছিটিয়ে পড়ে। পরজীবীর ফ্লাজিলাগুলো পরিণত হয়। অতঃপর, মস্তিষ্কের রক্তের সাথে মিশে। এর মাধ্যমে দ্বিতীয় পর্যায়ে পদার্পণ করে। এ পর্যায়কে এন্সেফালিটিক পর্যায় বলা হয়। এসব পরজীবী পোষক দেহের মস্তিষ্কে অবস্থান করে। তাদের গঠন পরিবর্তিত হয়। পোষকের মস্তিষ্কের ক্রিয়া-প্রতিক্রিয়া কিছুটা নিয়ন্ত্রণে নেয়। যা একধরনের নিঃসৃত রাসায়নিক পদার্থের সহায়তায় করে থাকে। এসব পরজীবী মূলত পোষকের হাইপোথ্যালামাস অংশের নিয়ন্ত্রণ নিতে সক্ষম হয়। ফলে নিদ্রা-চক্র, ঘুমের অথবা জেগে থাকার উপর প্রভাব বিস্তার করে। প্রথমত পোষক মাথাব্যাথা অনুভব করে। মাথা ব্যাথার কারণে পোষকের ঘুমের ব্যাঘাত ঘটায়। যা ঘুম-চক্রের বাহিরে মেলাটেনিন হরমোন নিঃসৃত করায়।
পরজীবী পোষককে অসময়ে ঘুমাতে বাধ্য করে। দীর্ঘ দিন এভাবে পোষকের দেহে কাজ করতে থাকে। ফলে মনস্তাত্ত্বিক পরিবর্তন হয়। যেমন ক্ষুদা মন্দা, বিষন্নতা, খিটখিটে মনোভাব তৈরি, অদ্ভুত কথা-বার্তা ও নিজের প্রতি নিয়ন্ত্রণ কমে যায়। অল্প কয়েক বছরের মধ্যে এসব অদ্ভুত আচরণ বৃদ্ধি পেতে থাকে। একসময় পোষক তথা মানুষকে অলস করে তোলে। ধীরে ধীরে মানুষ অনেক ঘুমকাতুরে ও অলস হয়ে পড়ে। বেশি বেশি অলসতা ও ঘুমানো, পরে কোমা এবং মৃত্যুর দিকে নিয়ে যায়। কেমন লাগলো বিষয়টি? কি অদ্ভুত তাই না।
এ মহাবিশ্বের ক্ষুদ্র অংশ পৃথিবীতে কত কিছু ঘটছে। জেনে অনেক অবাক হতে হয়। সৃষ্টিকর্তা তার অপরুপ সাজে সজ্জিত করেছে। ছোট কয়েক ন্যানোমিটারের পরজীবী কি সাংঘাতিক ঘটনা ঘটায়, তাই না? এরূপ পরজীবী আক্রমণের প্রতিকার রয়েছে। আক্রান্ত ব্যাক্তির পরিবার ও বন্ধুরা বেশিরভাগ ক্ষেত্রে রোগটি ধরতে ব্যর্থ হয়। মনে কর হঠাৎ কেউ ঘুম থেকে উঠে খেতে শুরু করলো। তোমার কী চিন্তা হবে? এসব পরজীবীর প্রটোজোয়া পর্যায়ে মস্তিষ্ক আক্রান্ত? না ভাববে সম্ভবত কোন কারণে তিনি হতাশ হয়েছেন? নিশ্চয়ই পরের বিষয়টা আগে আসবে।
তবে দেরিতে এর উপসর্গ ভালো লক্ষ করা যায়। কিন্তু তখন এর প্রতিকার অনেক জটিল হয়ে পড়ে। তবে তোমাদের চিন্তার কোন কারণ নাই। বাংলাদেশে ট্রাইপ্যানোসোমা পরজীবীর ঘটনা এখন পর্যন্ত ঘটেনি। এসব পরজীবী সাধারণত আফ্রিকার সাহারা অঞ্চলে ও আমাজানের কিছু অংশের প্রাণীদের মধ্যে পাওয়া যায়। তবে এ পর্যন্ত ল্যাটিন আমেরিকা ও মেক্সিকোর কিছু মানুষ আক্রান্ত হয়েছে। আমরা শুকরের মাংস কেনই বা খাব না? এর মধ্যে কী আছে? আর কেনই বা আমাদের সৃষ্টিকর্তা বিভিন্ন ধর্মে গ্রন্থে নিষিদ্ধ ঘোষণা করেছেন। আশ্চর্যের বিষয় হলো, শুকর নিজের মল গ্রহণ করে। এর কারণ অবশ্যই আছে। আমরা দেখেছি বিভিন্ন পরজীবী জীবনচক্র পরিপূর্ণের জন্য অন্য পোষকের উপর নির্ভরশীল।

চিত্র-৪: শুকরের মাংসে পরজীবীর অবস্থান
কিন্তু শুকরের শরীর অনেকগুলো পরজীবী দিয়ে ভর্তি। যারা শুকরকে তাদের পোষক হিসেবে ব্যবহার করে। এসব পরজীবীর সংখ্যা প্রায় বিশের অধিক। কয়েকটির নাম জানা যাক। ট্রাইচিনেলোসিস (Trichinelosis), টিয়েনোসিস (Teanosis), টিনিয়া সোলিয়াম (Teania Solium), ক্রীস্টিকারকোসিস (Cysticercosis), ত্রীচুরা টিচুরাসিস (Trichiura Trichiurasis) ইত্যাদি।

চিত্র-৫: বিভিন্ন পরজীবীর মাইক্রোস্কোপিক চিত্র
এসব পরজীবী রাসায়নিক পদার্থ নিঃসৃত করে। ফলে শুকরের মস্তিষ্ক নিয়ন্ত্রণ নেয়। তাদের ডিম মলের মাধ্যমে বাহিরে আসে। বাহিরের পরিবেশ প্রভাবক হিসেবে ডিমকে উপযুক্ত করে তোলে। শুকরকে তার মল খেতে উদ্বুদ্ধ করে। অন্য প্রাণীর মল খেতেও উদ্বুদ্ধ করে। পৃথিবীতে নগণ্য সংখ্যক এরুপ প্রাণী দেখা যায়। যারা নিজের মল খেয়ে থাকে। পরজীবী বংশ বৃদ্ধি করার জন্য শুকরকে ব্যবহার করে। এরা শুধু নিজেদের না মানুষ ও অন্যান্য প্রাণীদের মধ্যে ছড়িয়ে দেয়। এসব পরজীবী মানুষের প্রায় সত্তরটি রোগের কারণ।
শুকরের মাংসে সব চেয়ে বেশি কৃমির পরজীবী পাওয়া যায়। প্রায় সব রকমের কৃমির মধ্য বৃত্তাকার কৃমি, ক্ষুদ্র কাঁটাযুক্ত কৃমি, ফিতা কৃমি এবং বক্র কৃমি অন্যতম। এদের ডিম রক্ত প্রবাহে প্রবেশ করে। দেহের প্রায় সকল অঙ্গ প্রত্যঙ্গে বিনা বাধায় ঢুকতে পারে। এটি মস্তিষ্কে ঢোকে। যার ফলে স্মৃতি ভ্রষ্ট হয়। হৃদ-যন্ত্রের মধ্যে ঢুকলে বন্ধ করে দিতে পারে হৃদযন্ত্রক্রিয়া। চোখে ঢুকলে অন্ধত্ব হওয়ার সম্ভবনা অনেক বেশি। কলিজায় ঢুকলে মারাত্মক ক্ষতের সৃষ্টি করে। অর্থাৎ শরীরের যে কোনো অঙ্গপ্রত্যঙ্গের কর্মক্ষমতাকে ধ্বংস করে দিতে পারে। ভাবো কি ভয়ঙ্কর তাই না!

চিত্র-৬: টিনিয়া সোলিয়াম এর জীবনচক্র
আরো ভয়ঙ্কর 'ত্রীচুরা টিচুরাসিস' তো আছে। এ সম্পর্কে সাধারণ একটা ধারণা ছিলো। ভালো সিদ্ধ করলে ডিম মারা যায়। কিন্তু আমেরিকায় গবেষণা চালানো হয়েছে। ফলাফল, ভালো সিদ্ধ করেও প্রতি ২৪ জনের ২২ জন এ 'ত্রীচুরাসিস' দ্বারা আক্রান্ত হয়।

চিত্র-৭: ত্রীচুরা টিচুরাসিস এর জীবনচক্র
তাই প্রমাণ হয়, সাধারণ রান্নায় এর ডিম ধ্বংস হয় না। এজন্য হয়তো সৃষ্টকর্তা এরকম নিষেধাজ্ঞা দিয়েছেন। শুকর শুধু মানুষ না অন্যান্য প্রাণীদের মধ্যেও রোগ জীবাণু ছড়িয়ে দেয়। যেমন কিছু ইঁদুর, ভাল্লুক, খরগোশ এর থেকে ছাড় পায় না। ট্রাইচিইনেলোসিস (Trichinellosis) নামক পরজীবী এসব পোষকের মাধ্যমে জীবনচক্র সম্পন্ন করে থাকে।

চিত্র-৮: ট্রাইচিইনেলোসিস (Trichinellosis) নামক পরজীবীর জীবনচক্র
শুকরের পরজীবীগুলো কোন না কোন রোগ-জীবাণু ছড়িয়ে দেয়। যা আমাদের পরিবেশের জন্য ক্ষতিকর। এছাড়াও শুকরের মাংসে পেশি তৈরির উপাদান অত্যন্ত নগণ্য। পক্ষান্তরে চর্বি উৎপাদনের উপাদান প্রচুর। এ চর্বি বেশিরভাগ রক্তনালিতে জমা হতে থাকে। একসময় হাইপার টেনশন এবং হার্ট অ্যাটাক হতে পারে। তবে সৃষ্টিকর্তার এ সৃষ্টির কারণ আছে। হয়তো অনুসন্ধান করলে বেড়িয়ে আসবে। যা এখনো চলমান। বিজ্ঞানীরা কিছু প্রতিষেধক আবিষ্কারের সম্ভাবনা দেখছেন। আমারও মতামত তাই; শুকর অধিক পরিমাণ রোগ-জীবাণু ও পরজীবী বহন করতে সক্ষম। সুতরাং এর মধ্যে এসব রোগের এন্টিবডি পাওয়া সম্ভব। এসব রোগ জীবাণু শুকরের কোন ক্ষতি করতে পারছে না। এর অর্থ দাঁড়ায়, শুকরের মধ্যে রোগ প্রতিরোধ ক্ষমতা আছে। আশা করি, গবেষণার মাধ্যমে উপযুক্ত প্রক্রিয়ায় প্রতিষেধক বের করা সম্ভব হবে।
বৈজ্ঞানিক ঘটনা যেমন ঘটে তা কল্পনার চেয়েও ভিন্ন। মস্তিষ্কের কোষগুলো ক্ষতিকারক পরজীবী দ্বারা আক্রান্ত হয়। এর প্রত্যেকটি ঘটনা ভূত ও ড্রাকুলার মত ভয়ানক। জানতে খুব ইচ্ছা হয়, তাই না! লোমহর্ষক এমন ঘটনা সবাইকে রোমাঞ্চিত করে তোলে। আজ এ পর্যন্ত। আগামী সংখ্যায় নতুন কিছু পরজীবী সম্পর্কে জানবো। আর বড় বড় প্রাণী ও মানব মস্তিষ্কের উপর প্রভাব বিস্তার সম্পর্কে জানা যাবে। আশা করি তোমরা অপেক্ষায় থাকবে। (চলবে)
জানুয়ারি-ফেব্রুয়ারি ২০১৯। বর্ষ ৪। সংখ্যা ৬